Unless otherwise indicated, as referenced herein, all trademarks and intellectual property rights are the property of ZimVie Inc. or an affiliate; and all products are manufactured by one or more of the dental subsidiaries of ZimVie Inc. (Biomet 3i, LLC, Zimmer Dental, Inc., etc.) and marketed and distributed by ZimVie Dental and its authorized marketing partners. BellaTek Abutments are manufactured and distributed by Biomet 3i, LLC. IPS e.max is a registered trademark of Ivoclar Vivadent. NobelReplace® and Replace Select™, and Nobel Active™ are trademarks and/or registered trademarks of Nobel Biocare AB. Straumann® is a registered trademark of Straumann Holding AG, Switzerland. 3Shape is a trademark of 3Shape A/S. For additional product information, please refer to the individual product labeling or instructions for use. Product clearance and availability may be limited to certain countries regions. This material is intended for clinicians only and does not comprise medical advice or recommendations. Distribution to any other recipient is prohibited. This material may not be copied or reprinted without the express written consent of ZimVie. ZV1921 REV B 04/25 ©2025 ZimVie. All rights reserved.
BellaTek CAD/CAM Abutments
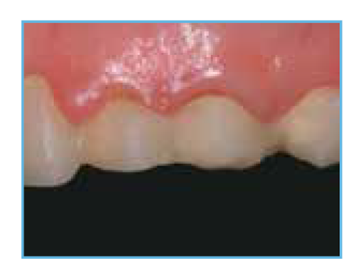
The Results: Highly Aesthetic BellaTek Definitive Abutments

Restorative Clinician
More Comfort:
- No need for impression copings for a less invasive impression procedure.
Fewer Visits:
- An intraoral scan taken by the specialist eliminates a restorative appointment and results in less visits to the dentist’s office.
Aesthetic Outcomes:
- Restorations designed specifically for the patient, for better aesthetics.
BellaTek CAD/CAM Abutments are exclusively designed to match each patient’s tooth anatomy, producing a natural emergence profile through the soft tissue.
Dental Laboratories
ZimVie’s CAD/CAM Consumables range brings you a selection of essentials to keep you working effectively with:
BellaTek CAD/CAM Abutments
The original solution for ZimVie Dental Implant Systems
- Integrated Workflow: Digitally integrated workflows supported by Encode® Emergence, Encode-Empowered Laboratories and BellaTek. Submit your design via your 3Shape or RealGUIDE™ systems.
BellaTek Azure™ Lab Designed CAD/CAM
Delivering the precision and aesthetics of your design
- Abutments: A digitally integrated workflow for 3Shape and RealGUIDE users
- Multi-Platform Systems: The BellaTek Milling Center now offers Azure multi-platform milling solutions with a versatile portfolio of CAD/CAM abutments.
ZimVie Certain Clinical Case Presentation
Clinical treatment by Dr. Christopher Ramsey, Jupiter, FL, USA
Fig. 1. A 35-year-old female patient presented with an unsatisfactory provisional restoration on teeth numbers 11-14.
Fig. 2. Clinical situation post-orthodontics and removal of the provisional restoration.
Fig. 3. A ZimVie Full Osseotite® Tapered Implant and BellaTek Encode® Healing Abutment were placed.
Fig. 4. IPS e.max® glass ceramic crowns and a BellaTek Gold-Colored Nitride-Coated Abutment were fabricated.
Fig. 5. The crowns for the natural teeth and the implant on the master cast.
Fig. 6. Final result showing the same aesthetic value on the natural tooth restorations and the implant supported restoration.
Fig. 7. Periapical radiograph taken at three months, 30 days after cementation.
ZimVie Portal Simple Workflow
Login to your Account
Go to the ZimVie Portal and Login to your account. For new customers, please contact our Customer Service Team for a LoginID and password.
Register and Upload your Case
Register your customer information and upload your case using 3Shape® or send your case using RealGUIDE®.
Review your Case and Track
Review and track your cases easily from the ZimVie Portal. Any components you need can be added before you finish your order.