TSV Implants are designed for use in the maxilla or mandible for immediate loading or for loading after a conventional healing period. Implants may be used to replace one or more missing teeth. Immediate loading is indicated when there is good primary stability and an appropriate occlusal load.
Tapered Screw-Vent® (TSV) Dental Implant System
A Legacy Of Performance
With over 20 years of clinical use and millions of implants sold, the TSV Implant has gained the trust of thousands of surgeons worldwide to deliver successful patient outcomes.


Benefits
Experience the confidence provided by a history of success.
Designed for immediacy2,7,15
The primary stability achieved by TSV Implants enables immediate placement and/or immediate loading in appropriately selected patients.
Favorable conditions for crestal bone maintenance21,22
The proprietary internal hex creates a Friction Fit Connection that shields the crestal bone from occlusal force.
Features
MTX ® or MP-1® HA Surfaces
High bone-to-implant contact and osteoconductive capacity16,17,36
Soft and Dense Bone Protocols
Enables bone compression and stability in poor quality sites15
Coronal Options
Available with and without coronal microgrooves and texturing to address clinical preferences



Advantages
Documented 98.7% implant survival rate mean1-14
Prospective data on 1,553 TSV MTX™ Implants (mean 36 month follow up)

Documented Clinical Success
Case Study
Immediate Placement of TSVT Dental Implants

Preoperative clinical view of the incisor extraction sockets.

TSVT Implants (4.1 mm x 16 mm) with attached fixture mounts threaded into the prepared extraction sockets.

Radiographic view at the time of placement with surgical cover screws attached.

One-year post-placement radiograph with stable marginal bone levels around TSVT implants.

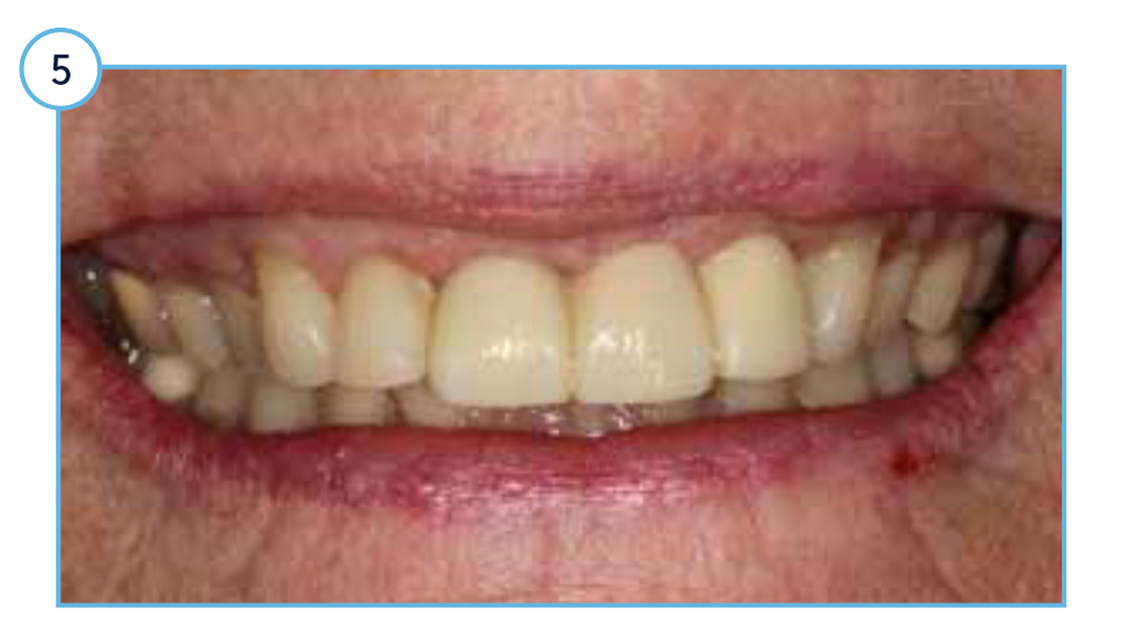
Clinical view of the aesthetic outcome one-year post restoration.
Primary Stability
Soft-Bone Protocol - Advancements in Soft-Bone Implant Stability1
| Rosenlicht
Immediate Loading
Immediate Placement and Provisionalization of Implant-Supported, Single-Tooth Restorations: A Retrospective Study2
| El-Chaar and Bettach
Implant Insertion Torque
Histologic and Biomechanical Evaluation of the Effects of Implant Insertion Torque on Peri-Implant Bone Healing5
| Consolo et al